“行了!”,随着最后一枚支架的植入,郭平凡悬着的一个心终于落了下来,
介入手术室里的全体医务人员也都松了口气。造影确认,撤除导丝导管,缝合切口,安全护送病人回到重症室监护,患者生命征平稳,各项指标正常,又一例濒
临破裂的腹主动脉瘤在血管外科、急诊科、影像科、麻醉科、介入手术室等科室医务人员的通力配合下取得了成功。
主动脉瘤破裂是血管外科的危急重症,该病的抢救成功与否是体现一个医院血管外科乃至医院综合实力的重要表现。近几年来,我院血管外科在院领导及医务部门的大力支持与协作下,制定了《破裂主动脉瘤抢救流程》,将接诊、确诊到手术如何操作、人员调配细化到每一步骤,争取最短时间完成。此次从急诊外科医师接诊到CT检查完成,血管外科、麻醉科、介入手术室人员到位,开始手术仅用了45分钟。
郭平凡主任介绍,虽然在我院血管外科,破裂主动脉瘤的抢救成功率可以达到国内先进水平,但主动脉瘤破裂的死亡率仍然是比较高的,这与许多因素有关。比如最近因为天气变化频繁、早晚温差大,急性的心血管事件明显增多,此时老年人更应注意体检,当有病变发生时应及时就诊。近半个多月来,我院血管外科就抢救了三例破裂主动脉瘤,一例是胸主动脉瘤,两例是腹主动脉瘤。

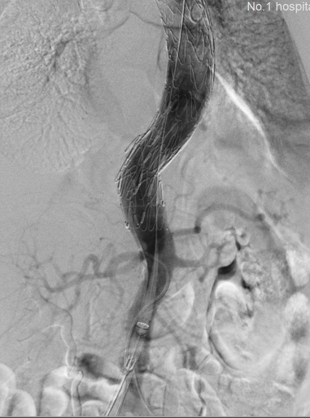
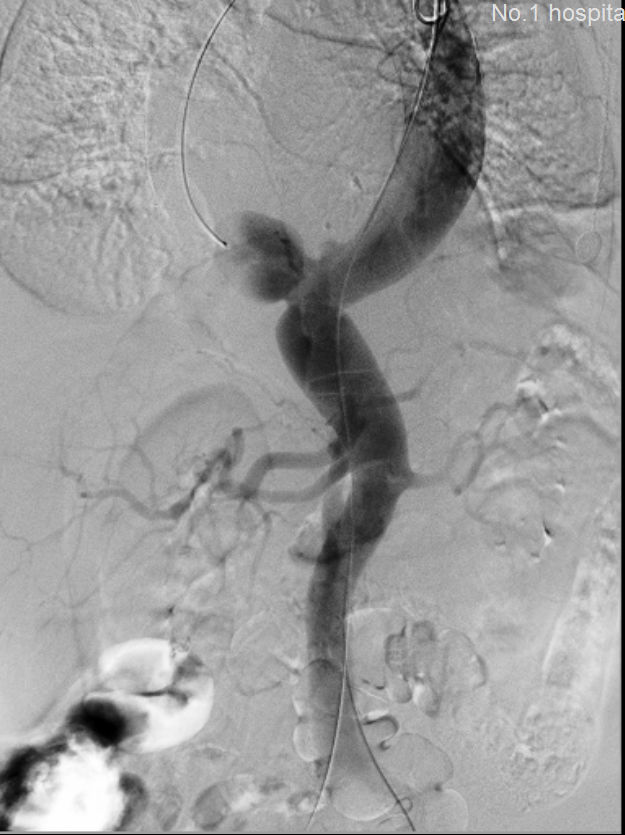
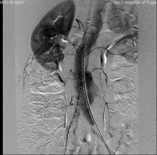
术前 术后

术前 术后
近期抢救的一例破裂腹主动脉瘤就是一位台湾退伍老兵,春节回长乐探亲前,在台湾就已查出有腹主动脉瘤,但没有重视此事,可能因心情激动,突发腹痛,腹主动脉瘤破裂送到我院救治,好在抢救及时,现已安返台湾。
郭主任表示,随着老年患者的增多及社会对健康的重视,越来越多的人在体检时发现胸、腹主动脉瘤,此时患者应咨询专科医师,根据病变的情况制定合适的治疗方法,避免悲剧的发生。
血管外科 蔡方刚