近日,我院心内科团队成功救治一例尿毒症合并难治性高血压的冠状动脉严重狭窄病变伴冠状动脉瘤样扩张的危重、疑难患者。
傅阿姨(化名)今年72岁,患有20年高血压病和3年尿毒症,每周都会有规律地在医院做3次血液透析。但这一年来,血压越来越难以控制,医生虽多次调整降压药物,将最初的4种降压药增加到6种,每种降压药都使用到了最大量,可傅阿姨的血压依旧居高不下,高达180/90mmHg,且时常感觉到头痛、恶心、胸痛。
傅阿姨听闻我院有开展肾动脉去神经术(RDN)治疗难治性高血压,抱着试一试的心态来到我院就诊。入院时傅阿姨身体极度虚弱,只能坐在轮椅上,体重不到40公斤,重度营养不良,每天都服用15种药物,无法耐受介入手术。于是,心内科团队多次组织营养科、肾内科等科室专家进行会诊讨论,为傅阿姨制定了完善的药物治疗方案和营养处方。经过一周的调理,傅阿姨身体状态和精神状态都得到了明显的改善,可以床边简单活动。
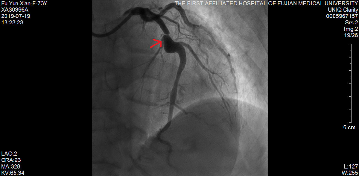
随后,苏津自教授、蔡瀚医师为傅阿姨进行介入手术:肾动脉造影显示双侧肾脏萎缩,右侧肾脏具备进行RDN的条件;而冠状动脉造影显示营养心脏的其中一条主干血管——前降支血管近端99%狭窄伴冠状动脉瘤样扩张。
面对如此高危、疑难的手术状况,心内科主任林金秀教授立即组织多位专家共同商讨手术策略,决定先进行RDN控制患者的血压,同时优化药物治疗方案,以降低冠状动脉闭塞的致死性风险发生率作为第一要务,待时机成熟时,再进行冠状动脉介入治疗(PCI)。
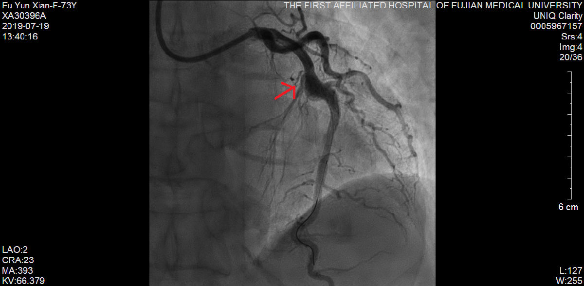
说干就干,要干就干的漂亮。苏津自团队立即为傅阿姨进行RDN。经过术后3周细致入微的诊疗和护理,傅阿姨血压慢慢下降至160/90mmHg左右,体重也增加到40公斤。随后,柴大军教授、祝江医师在冠状动脉血管内超声(IVUS)的精确定位下,成功为傅阿姨植入一枚支架至前降支血管。前后历经1个月,傅阿姨再也没感觉头痛、胸痛,笑着出院了。
傅阿姨的成功救治是我院心内科团队救治许多危重症患者的一个缩影。心内科拥有持续性肾脏替代治疗仪(CRRT)、冠状动脉旋磨仪、IVUS、主动脉内球囊反搏仪等多种高精尖仪器,为救治危重症患者提供了坚实的后盾。此外,心内科团队始终强调治疗、康复、支持的综合理念,不做手术匠、开刀匠。近期,心内科已成立专科发展联盟,可为全省基层医院提供一个接纳疑危重症患者的综合性治疗平台。





心内科 蔡瀚