近日,我院心内科团队成功救治一例右位心(俗称“镜面人”)合并急性心肌梗死的高龄危重患者。
俞老先生今年92岁,是一名参加过抗日战争、抗美援朝的老红军,有高血压、糖尿病、高血脂病史30余年。这20天来,俞老先生常感到胸口闷堵,稍活动一下就气喘吁吁,夜里需半卧位睡觉。经人介绍,他来到我院心内科就诊。检查后,医生发现俞老先生肌钙蛋白和脑钠肽极高,是急性心肌梗死表现,于是立马安排俞老先生收住心内科重症监护病房治疗。
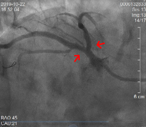
入院第二天,心内科柴大军主任医师为核心的介入团队为俞老先生进行了评估。此时俞老先生已可平卧,柴大军主任医师当机立断为其行经皮冠状动脉介入治疗(PCI)。冠状动脉造影显示,俞老先生是极其罕见的右位心合并疑难的左主干分叉病变。

术前冠状动脉造影显示:镜像右位心、前降支和回旋支开口处严重病变
面对这样高危、复杂、罕见病例,有的人会知难而退,向困难屈服,但附一的心内人不会!直面困难,创造条件,迎难而上,台上1小时,三千六百秒,心肌梗死的病人病情每一秒瞬息万变,分秒必争。
柴大军主任医师带领心内科介入团队通过精准的导管操作,成功为俞老先生完成了左主干分叉病变双支架治疗(术式:DK-CRUSH)。术后第三天,俞老先生再没有感觉胸闷、气喘,可以迁入普通病房进行康复治疗。

术后冠状动脉造影显示:前降支和回旋支开口处病变解除
随着我国进入老龄化社会,未来CHIP病例(即复杂、高危、有介入指征的患者)在心内科介入手术比例中将大幅提高。虽然CHIP病例介入手术难度较高,但成功手术可使患者获得立竿见影的效果。俞老先生就属于一例典型的CHIP病人。这样类似的病例,我院心内科介入团队每年可完成300余例。
今年以来,在胸痛中心、脑卒中中心的基础上,我院已陆续成立房颤中心、高血压中心、心脏康复中心。心内科介入团队由多名优秀中青年骨干医师组成,介入团队可联合心脏外科、血管外科,在主动脉球囊反搏(IABP)、连续性肾脏替代治疗(CRRT)、血管内超声(IVUS)等先进设备支持下,开展冠心病、先天性心脏病、难治性高血压的各类介入诊疗。
心内科 蔡瀚