

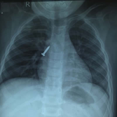
螺丝钉卡在宝宝气管 CT显示螺丝钉卡在右主支气管
螺丝钉吸入气管,险呼吸骤停
“救救我的孩子。”20天前,福建医大附一医院来了一对夫妻。夫妻是四川人,在福州工作生活。他们抱着4岁男孩点点(化名)。点点时不时咳嗽,还有些喘气。
父母说,大概13个小时前,孩子自己在玩,不知道从哪里摸了螺丝钉,拿在手里玩。当时,好像看到他把螺丝钉放在头顶玩,也不知为什么头一仰,螺丝钉正好吞入嘴巴。当时孩子就剧烈咳嗽,哭闹起来。他们去了小医院拍了片,看见螺丝钉卡在了气管里了。医院说很凶险,才转来福州大医院。
螺丝钉堵在右支气管上,呼吸心跳很可能骤停。附一医生赶紧开通绿色通道,安排急诊手术。
参与手术的陈国郝副主任医师说,螺丝钉呛入气管不到1天,孩子已经出现了肺气肿,肺炎,所以手术越早越好。
5分钟手术取出,但非常凶险
一接到气道异物的手术通知,附一耳鼻喉科林功标副主任医师、陈国郝副主任医师、肖恒主治医师及方秀玲总住院医师,麻醉科陈辉主任医师、郭廷生主治医师、郑如洁总住院医师以及手术室的高霞护师迅速集结,组成气管异物急救团队。
“气道异物的手术异常凶险,尤其是小孩。”参与手术的肖恒医生说,一场手术来了3名麻醉:1名麻醉管心率,1名管气道,1名管推药,同时还有4名医生保驾护航。
手术医生把纤细的气管镜,深入宝宝喉部,看到右侧支气管中段有一金属的螺丝钉,尖端朝上,头端朝下。螺丝钉周围已经有脓性分泌物。在大家的配合下,仅5分钟,就顺利夹出了螺丝钉。螺丝钉足足有2.5厘米长,0.4厘米宽。
肖恒医生说,这次顺利5分钟就夹出来。有时不顺利1个多小时也夹不出来,最后必须开胸手术才能取出。有些患者在就诊前就可能出现窒息,失去抢救机会。


八位医生护士为手术保驾护航 取出来的螺丝钉长2.5厘米,粗0.4厘米
家长注意!别让孩子将小物件含嘴里玩
“千万不要让孩子把小东西含在嘴里玩,一不小心,就呛入气管了。”陈国郝医生说,光附一医院耳鼻喉科就已成功取出上千例气管异物,包括瓜子、花生、豆类、笔帽、鱼刺、玩具配件等。
但并不是每个患者都有顺利取出异物的机会,有些患者在就诊前就可能出现窒息,失去抢救机会;也有不少患者在手术中或者手术后因肺部感染、肺不张或肺气肿等并发症,发生危险甚至引起死亡。
为此,附一医院耳鼻喉科副主任医师林功标提醒各位家长,家长切记阻止孩子将玩具、瓜子、花生等异物含于口中玩耍,发现后鼓励儿童自行吐出异物,切忌恐吓儿童,引起哭闹而勿吸入气管。儿童进食时,避免哭闹及嬉笑。尽量避免3-5岁以下孩子进食瓜子、花生、豆类等易进入气道的异物。