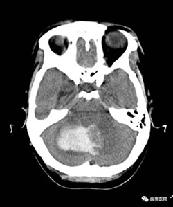
2017年3月19日凌晨,一位50多岁的王阿姨突发眩晕,意识障碍,送到我院闽南医院,急查CT确诊为小脑出血,血量达30ml,血压高达210/120mmHg,如不尽快做手术,病人将危在 旦夕!然而,据家属描述,病人还有脑梗塞病史,手术的话病人则很可能在手术台上发生危险!


江常震医生正在为患者进行手术
众所周知,心脑血管疾病是威胁人类健康的头号杀手,而出血性中风是其中的一大类型疾病,它往往在情绪激动及使劲用力后诱发,因其“高死亡率和高致残率”给家庭和社 会带来沉重的负担。对待这种急重病人,在区县级医院里的一般大夫,要么选择非手术的保守治疗,要么建议转院处理,且病人家属也往往要求转院。万幸的是,当天外科值班的 医生正是我院本部神经外科副主任医师江常震大夫,作为福建省内神经外科界知名的医生,江大夫马上做出了急诊手术的决定,并告知家属急诊手术的迫切性和必要性。家属商讨 后决定留在闽南医院抢救。艺高人胆大,神经外科医疗组快速制定应对各类紧急情况的预案,随后在备血,降压及降颅压等充分的术前准备后,开始手术。
手术由江常震主刀,蔡明、杨旭耀、郭小洪医生作为助手配合手术。为防止颅压增高,脑疝形成,医疗组先给患者行“右侧脑室额角引流术”,为下一步小脑血肿清除、减压 赢得宝贵的时间。为了使患者头部在手术中保持稳定以利小脑的显露及减少小脑创伤,医疗组利用“三点”式头架固定头位,全程利用精巧的显微器械沿着颅内自然间隙进行操作 。
脑出血手术清除血肿过程中最关键的步骤是止血,此时高位波动的血压、动脉粥样硬化的血管和血肿周围水肿的脑组织给止血带来了极大的挑战,但是江大夫沉着冷静、从容 不迫,经过5个多小时的手术,病人的血肿全部清除,出血点也得到了有效控制。为做好术后围手术期管理,术后江大夫带领神经外科团队每天蹲守在重症监护室(ICU)密切观察 患者病情变化,指导管床医师处理及用药,确保病人平安度过危险期。而且,在回到普通病房后,江大夫还积指导病人做康复功能锻炼。历时近一个月,在医生的协助下,病人终 于战胜了病魔,痊愈出院。病人及家属对治疗效果非常满意,并为江大夫的精湛技术点赞。因江常震大夫是神经外科专家,大家私底下亲切地称他为“江神医”。


江常震为患者进行术后康复情况检查 患者家属给医疗组赠送锦旗和感谢信
据江常震介绍,小脑手术的风险在于:一是周围有大血管,静脉窦,稍有不慎,可能造成大出血危及生命,而一旦损伤,血管难以修复,不像其他血管一样可以结扎修复;二 是小脑深部贴近脑桥和延髓等生命中枢,稍不留神就可能出现呼吸、心跳骤停!开颅规范是手术成功的基础,小心解剖是成功的关键,因此手术必须在手术显微镜下进行才能提高 成功率,因为显微镜能够放大局部病灶,有立体感。
“感谢福建医科大学附属第一医院与泉港区人民政府联合办医政策,才使得福建医科附属第一医院神经外科江常震副主任医师能下派到“医联体”,能在第一时间对出血性中 风的神经重症患者进行规范的救治,否则我们有可能再也见不到这位亲人了”患者家属这样说到。
江常 震副主任医师,硕士,毕业于福建医科大学,从事颅底肿瘤、后颅窝、脑中线区肿瘤医疗及研究工作20余年。近年来,通过到发达国家进修及学习,同时经过自己的刻苦 研究,完全掌握了神经内镜的治疗技术,成为福建医科大学附属第一医院乃至省内知名的微创神经外科专家。江常震特别擅长经鼻腔入路垂体瘤摘除手术和经内镜行颅内血肿清除 手术,“神医”就是这样练成的!对小脑出血这类的手术算是轻车熟路、手到擒来了。据了解,江主任选派到“医联体”近两个多月来,经常为挽救病人的生命,在国家法定休息 日半夜从福州赶过来,主刀抢救危重病人。江主任精湛的技术、高尚的医德成为了“医联体”全体医护员工学习的楷模,也成为了泉港区广大百姓的又一位健康守护神!